Alitosi. Un problema multifattoriale da non sottovalutare

Uno dei principali motivi per cui i pazienti si rivolgono al proprio dentista di fiducia è l’imbarazzante problema dell’alitosi, spesso vissuta come una vera e propria “patologia” con ripercussioni a livello socio relazionale non indifferente. La sua risoluzione, in effetti, determina enormi benefici a chi ne è affetto.
L’alitosi ha diverse cause e non esiste condizione unica. In primo luogo, si può parlare di una alitosi “fisiologica”, tipicamente mattutina, causata dalla stagnazione di liquido salivare in cui si trovano intrappolati residui di cheratinociti desquamati dalla mucosa, che rivestono principalmente il dorso della lingua. La soluzione in questo caso è molto semplice, basta sciacquare bene la bocca, spazzolare i denti, la lingua, la zona sub linguale, il palato, i fornici (cioè gli spazi tra le arcate dentarie e le guance e le labbra). È comunque un tipo di alitosi che durante la giornata scompare.
Un altro tipo di alitosi è legata al tipo di alimentazione, una dieta ricca di cibi particolarmente “odorosi”, speziati, rilascerà le molecole odorose in tutto l’organismo che a lungo andare trasuderanno letteralmente con un caratteristico odore dell’alito ma anche della pelle.
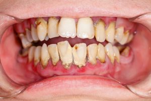
Esiste poi un complesso molto ampio di alitosi “vere”. Circa, l’80% di queste ha una causa locale. Un processo fondamentale, in questo senso, è il rilascio, da parte dei batteri presenti nel cavo orale di composti volatili dello zolfo: acido solfidrico, metantiolo e solfuro dimetile sono i principali. Il dorso linguale e tutto il cavo orale sono, infatti, un potenziale serbatoio di batteri anaerobi, grossi produttori di queste sostanze.

Diverse condizioni infiammatorie possono essere correlate con la condizione: in primis la malattia parodontale, in cui i microrganismi si accumulano nelle tasche parodontali a livello delle radici dei denti, la gengivite in cui a causa di una scarsa igiene orale si accumula placca che provoca infiammazione e iperplasia delle gengive, ma anche pericoronite, alveolite secca, ascesso parodontale, ulcerazioni delle mucose. Anche la candidosi pseudomembranosa prevede un accelerato processo desquamativo. Tutte queste condizioni possono essere rilevate, diagnosticate e curate dal dentista.

La restante parte delle condizioni deriva da processi patologici di interesse non prettamente odontoiatrico: una parte, circa il 10% del totale deriva da aree anatomiche di competenza otorinolaringoiatrica come le tonsille.

Esiste poi una particolare condizione, che può essere definita pseudoalitosi o alitosi immaginaria. Pazienti che riferiscono con convinzione tale sintomo (oltre alle connotazioni psicologiche susseguenti) non ne riveleranno segni clinici all’esame obiettivo. Per quanto poco conosciuta e documentata, tale particolare condizione è stata recentemente classificata fra le “condizioni psicosomatiche che interessano la pratica odontoiatrica”.
Infine l’alitosi può essere un sintomo di diverse malattie sistemiche, cioè patologie che interessano l’intero organismo. Se l’alito cattivo persiste nonostante una buona igiene orale, è fondamentale consultare un medico per indagarne la causa.

Malattie del fegato
Sapore metallico e alito cattivo. L’alitosi associata a un sapore metallico può indicare che il fegato non sta funzionando correttamente.
Cause. Problemi al fegato possono compromettere la digestione e l’eliminazione delle tossine, portando a un’alitosi caratteristica.
Cirrosi epatica avanzata. In casi avanzati di cirrosi, l’alitosi può essere uno dei sintomi evidenti.
Insufficienza renale
Odore ammoniacale. L’insufficienza renale può causare un’alitosi con un odore che ricorda l’ammoniaca.
Uremia. Questa condizione, causata dall’accumulo di urea nel sangue per via del malfunzionamento dei reni, può produrre un odore sgradevole nell’alito.
Diabete
Alito “fruttato”. In presenza di diabete, l’alito può assumere un odore fruttato o simile a quello dell’acetone, specialmente in caso di chetoacidosi diabetica.
Chetoacidosi diabetica. Questa complicanza grave, dovuta alla carenza di insulina, porta all’aumento dei corpi chetonici nel sangue, che vengono espulsi anche tramite la respirazione.
Disturbi gastrointestinali
Reflusso acido e gastrite. Il reflusso gastroesofageo, la gastrite (spesso associata al batterio Helicobacter pylori) e l’eccessiva introduzione di cibi grassi possono provocare alitosi.
Problemi intestinali. Disturbi come la stitichezza, la colite o la sindrome dell’intestino irritabile possono alterare il processo digestivo, portando a un’alitosi con un odore fecale o putrido.
Patologie intestinali croniche. La malattia di Crohn o la celiachia possono rallentare la digestione, permettendo ai batteri intestinali di produrre composti solforati volatili.
Malattie respiratorie
Infezioni delle vie aeree. Patologie come sinusite, tonsilliti, bronchiti e altre infezioni delle vie respiratorie possono causare alito cattivo.
Sinusite. In particolare, la sinusite può essere una causa di alito cattivo persistente.
Altre cause sistemiche
Xerostomia (secchezza delle fauci). La ridotta produzione di saliva, spesso legata all’assunzione di farmaci o a specifiche condizioni sistemiche, favorisce la proliferazione batterica e la comparsa di alitosi.
Trimtilaminuria (sindrome da odore di pesce). È una rara malattia metabolica che causa un forte odore corporeo, incluso l’alito.
Ostruzione intestinale. L’ostruzione può portare a un odore fecale nell’alito.
Anche in questi casi l’approccio odontoiatrico potrebbe essere il primo passo per l’individuazione di una potenziale patologia occulta e favorire l’indirizzamento presso uno specialista per lo studio del caso.
